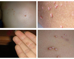
传染性软疣是由传染性软疣病毒感染引起,传染性软疣病毒属于痘病毒科中的一种DNA病毒,主要通过直接接触感染,患者往往在公共浴室或游泳池中被感染,也可自体接种,还可通过性接触感染。
治软疣选南通华医堂皮肤科
南通华医堂在上级部门的领导和支持下,经过不懈的努力,现已发展成为一所专业治疗皮肤病的我们,是南通治疗软疣的重要力量,是南通患者治疗软疣的好去处。》》华医堂治软疣哪些优势?
南通华医堂皮肤病专科,是一家专业皮肤病我们,也是市医保定点单位,在南通地区治疗皮肤病的水平赢得众多患者的良好评价。
主任亲诊,疗效保障
南通华医堂皮肤病专科汇聚专业皮肤医生团队,医生临床经验丰富,切实保障诊疗效果。
合理收费,透明公开
南通华医堂皮肤病专科严格执行相关部门制定的收费标准,明码标价,防范乱收费现象。》》华医堂治软疣有哪些价格优势?
疗效显着,口碑相传
南通华医堂皮肤病专科秉承“以患者康复为中心”,疗效保证,获得众多百姓的认可和信任。
“中西纳米光合祛疣技术”治传染性软疣
南通华医堂采用的“中西纳米光合祛疣技术”弥补了过去单一的药物免疫疗法不足,起到很好治疗效果,而且治疗过程安全、良好,复发率低。》》技术详情?点击咨询
“中西纳米光合祛疣技术”优势如下:
1、结合基因技术,系统、科学、规范:
“中西纳米光合祛疣技术”是备受关注和治疗效果理想的技术。》》点击预约该技术治疗
2、直接破坏病毒基因,杀灭病毒:
基因药物因子具有超强的渗透作用,直达病毒基因链,改变和破坏病毒基因编码,抑制细胞膜代谢,杀灭病毒,防止病毒有复制和变异的机会。
3、“自体疫苗”直达病理组织,效果强作用迅速:
“自体疫苗”深入病灶局部,高效杀灭细胞内病毒和组织深层的游离病毒,良好杀灭HPV病毒。》》太专业?点击咨询
4、无毒副作用,防护机体生理机能:
“中西纳米光合祛疣技术”采取病毒核壳蛋白的编码基因,提高抗体活力,诱导机体保护性能免疫,防止病毒侵入其它组织局部。
温馨提醒:患者朋友如果得了皮肤病,不必过于紧张,现在大多数常规皮肤病经过专业地治疗是可以获得康复的,您需要做的就是选择一家专业正规的皮肤病我们,然后遵从医嘱,耐心地接受治疗,相信不久的将来您就将重获光泽亮丽的皮肤了。











