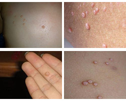
传染性软疣是由传染性软疣病毒感染引起的一种传染性皮肤病。皮损表现为特征性有蜡样光泽的丘疹或结节,顶端凹陷,能挤出乳酪状软疣小体。
传染性软疣临床表现:
1、发病年龄:
好发于儿童及青年人,潜伏期14天~6个月。
2、皮损症状:
皮损初起为白色、半球形丘疹,逐渐增大至5~10毫米,中央微凹如脐窝,有蜡样光泽,挑破顶端后,可挤出白色乳酪样物质,称为软疣小体。
3、皮损数目:
皮损数目不定,或散在,或簇集,一般互不融合。》》还有哪些症状?问医生
4、发病部位:
可发生于身体任何部位,但最常见于颈部、躯干、下腹部及外生殖器部位。
5、病程症状:
多数情况下6~9个月后皮损可自行消退,一般不留瘢痕。
传统传染性软疣治疗效果差强人意
1、普通药物治疗:
氟脲嘧啶软膏,涂擦效果较好,但使用后会遗留严重的色素沉着。
2、激光、电灼、冷冻治疗:
主要通过光、电、冷冻等物理作用将皮肤表面的疣体去除,然而皮下病毒没有铲除,起不到深度的治疗效果。》》久治不愈?预约吧
3、搔刮法来去除疣体:
不少患者不了解该病的自身传染性,想自己把疹子去除,反而致使疹子越来越多,因为疹子中有大量活跃的病毒,当产生轻微的破损,这时病毒很容易被接种到正常皮肤上而产生新的疣体。
治传染性软疣选“中西纳米光合祛疣技术”
南通华医堂采用的“中西纳米光合祛疣技术”弥补了过去单一的药物免疫疗法不足,起到很好治疗效果,而且治疗过程安全、良好,复发率低。
“中西纳米光合祛疣技术”优势如下:
1、结合先进基因技术,系统、科学、规范:
“中西纳米光合祛疣技术”是备受关注和治疗效果理想的技术。》》更多技术详情?问医生
2、直接破坏病毒基因,良好杀灭病毒:
基因药物因子具有超强的渗透作用,直达病毒基因链,改变和破坏病毒基因编码,抑制细胞膜代谢,杀灭病毒,防止病毒有复制和变异的机会。
3、“自体疫苗”直达病理组织,效果强作用迅速:
“自体疫苗”深入病灶局部,高效杀灭细胞内病毒和组织深层的游离病毒,良好杀灭HPV病毒。》》更多治疗细节?点击咨询
4、无毒副作用,防护机体生理机能:
“中西纳米光合祛疣技术”采取病毒核壳蛋白的编码基因,提高抗体活力,诱导机体保护性能免疫,防止病毒侵入其它组织局部。
就诊建议:南通华医堂为了便于广大患者的就医,特开通网络挂号绿色通道,患者朋友可以点击在线挂号获取专家号,到我们可以享受优先就诊,还有可能享受其他更多治疗援助。









